2020年10月26日 星期一

一次白三個色階,冷光美白 60分鐘給你嶄新美齒|台中牙醫推薦牙齒冷光美白

台中牙醫推薦生活牙醫|冷光美白,噴砂 實際案例分享|一次白三個色階 

患者因為不滿意牙齒顏色和茶漬堆積前來求診



經過醫師評估並與患者討論以後
決定以噴砂搭配冷光美白做治療
先用噴砂去除掉附著在牙齒表面上的茶漬
確認牙面上沒有固體污垢後
進行冷光美白改善整體齒色
最終提高了三個色階的牙齒亮白度
患者也帶著潔白閃耀的滿意笑容回家了




治療前後對比



觀看更多實際案例>> 



2020年10月19日 星期一

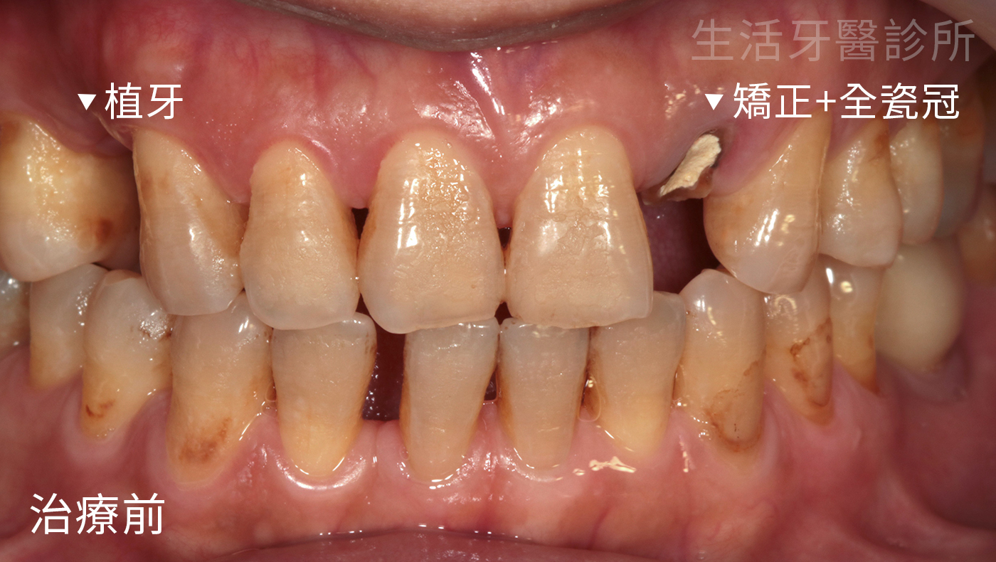
牙齒斷掉怎麼辦?矯正+全瓷冠假牙救回來,不用植牙也可以|台中牙醫推薦


患者的圖中右上門牙因故斷裂
希望能夠盡力保留牙齒
此外,圖中左上第一小臼齒也缺失了


在台中生活牙醫  薛青坡醫師的診斷下
發現右側門牙的牙根還健康安好,但是長度不足以固持假牙冠
所以建議以局部矯正將牙齒拉出一些,再製作全瓷冠假牙
不但美觀,也可以達到患者希望保留牙齒的心願
而第一小臼齒則是以植牙來修復牙位



利用特殊裝置進行局部矯正(強制萌出)
將側門牙牙根拉出一點,使它有足夠齒質製作假牙


裝戴客製化玻璃纖維牙樁
玻璃纖維牙樁顏色接近真牙,且不含金屬成份
不會染色牙根,更可以讓假牙看起來白皙透亮
此外,同時進行了牙齦手術(牙冠增長術)調整牙齦邊緣
幫助增加假牙冠固持力


依照周圍真牙的齒色、型態、紋理、光澤
訂做專屬的全瓷冠假牙
假牙製作完成後進行試戴


斷裂牙齒的全瓷冠假牙贋復及缺牙處的植牙皆已完成
生活牙醫診所累積多年深厚的美學功力
不但盡力為患者保留牙齒,更達到倣真的高水準演繹


治療前後比較





^